| 経過写真 |
説 明 |
 |
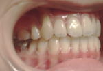
【矯正前】
・八重歯がすごく目立っています。
・左右奥歯の1本ずつでしか噛んでおらず、前歯で噛むことが出来ません。
・前歯がやや出っ歯ぎみでした。猿顔ですよね><
・前歯の上下の位置が揃っておらず、歯も傾いています。
|
 |
【上顎矯正中】
まずは、上顎(上の歯)からの矯正治療がはじまりました。
歯が動き出した時は、痛くて食欲が無くなりました。
なんとっ!!
1ヶ月ちょっとで、八重歯が正常な位置に動き、口元が閉まりやすくなったのですっ!!
|
 |
【上下顎矯正中】
下顎(下の歯)にも、装置をつけました。
全て白色の装置だったので、矯正中も意外と目立たなかったのが嬉しかったです!!
これは、矯正をはじめて、2ヶ月過ぎた頃の写真です。
この頃には歯の動く痛みはほとんどありません。
|
 |
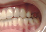
【矯正治療完了】
1年半かけて、やっと矯正治療が終わりました。
パーフェクトな歯並びになり、顔の印象自体も大きく変わり、本当に大満足です!!
|